Clinică Stomatologică și Implantologie Dentară
Servicii profesionale de chirurgie, implantologie și estetică dentară în Chișinău, la un preț accesibil. Clinica dentară DentPoint este un centru medical care are grijă de sănătatea și frumusețea zâmbetului, confortul și siguranța fiecărui pacient.
Este dotată cu toate echipamentele necesare pentru diagnosticarea și tratarea patologiilor dentare. În activitatea noastră, ne ghidăm după protocoale internaționale și standarde de calitate, avem o abordare individuală a tratamentului fiecărui pacient, datorită căreia obținem întotdeauna rezultate excelente și recunoștință din partea clienților noștri.
Oferim certificat de garanție, factură și pașaport implant.
Dr. Adrian Zgircea Fondatorul Clinicii – Asistent Universitar, Medic stomatolog implantolog
Fondatorul DentPoint, dr Adrian Zgircea, activează în calitate de medic stomatolog (implantolog) din anul 2010, după ce a finisat studiile în cadrul USMF Nicolae Testemițanu.
Începând cu 2016 a ales să fie și asistent universitar la catedra de Chirurgie OMF și Implantologie Orală „Arsenie Guțan”.
Participă în mod constant la diferite seminare și forumuri științifice naționale și internaționale, pentru a fi la curent cu toate noutățile din domeniul stomatologiei, și din 2017 a devenit membru al Asociației Europene de Osteointegrare EAO.
Ceea ce îl motivează în fiecare moment să ajute cât mai mulți pacienți este dorința de a contribui la starea lor de bine și încrederea pe care o obțin în urma intervențiilor stomatologice.
Așa cum menționează și dr Adrian Zgircea „Iubesc mult ceea ce fac zilnic, și primesc plăcere enormă când văd satisfacția și mulțumirea pe fețele pacienților DentPoint„
Oferim certificat de garanție, factură și pașaport implant.
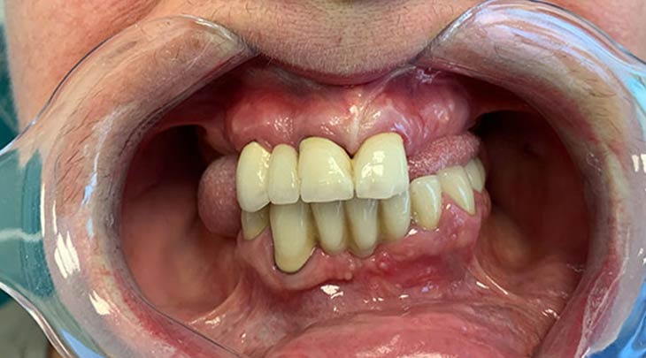
Chirurgie și Implantologie orală

Esența tehnicii de implantare constă în faptul că un implant dentar este instalat în țesutul osos maxilar – acesta crește împreună cu țesutul osos, înlocuind astfel rădăcina dintelui.
Implantat în maxilar, implantul dentar acționează ca suport pentru proteză – poate fi o singură coroană , punte sau chiar intreaga arcada dentara
Protetică dentară

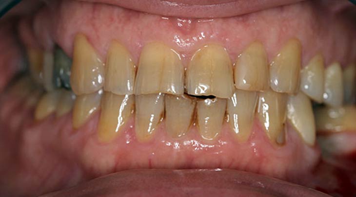
Stomatologia ortopedică este foarte populară. La urma urmei, dacă pierzi chiar și un dinte, poți uita de zâmbetul frumos și alte funcții, de exemplu, mestecatul, pot avea de suferit.
Sarcinile stomatologiei ortopedice includ toate aspectele legate de protetica dentară. Serviciile de protetică dentară prevăd restabilirea integrității maxilarelor în urma pierderii dintilor.
Ortodonție

În serviciile ortodontice ale clinicii stomatologice intră corectarea dentiției: dacă dinții cresc strâmbi, sau prea departe / aproape unul de celălalt, sunt inegali etc.
În cele mai multe cazuri, medicul ortodont corectează diverse patologii de malocluzie cauzate de diverse anomalii în formarea sistemului dento-maxilar.
Tratamente Stomatologice

Stomatologia ortopedică este foarte populară. La urma urmei, dacă pierzi chiar și un dinte, poți uita de zâmbetul frumos și alte funcții, de exemplu, mestecatul, pot avea de suferit.
Sarcinile stomatologiei ortopedice includ toate aspectele legate de protetica dentară. Serviciile de protetică dentară prevăd restabilirea integrității maxilarelor în urma pierderii dintilor.
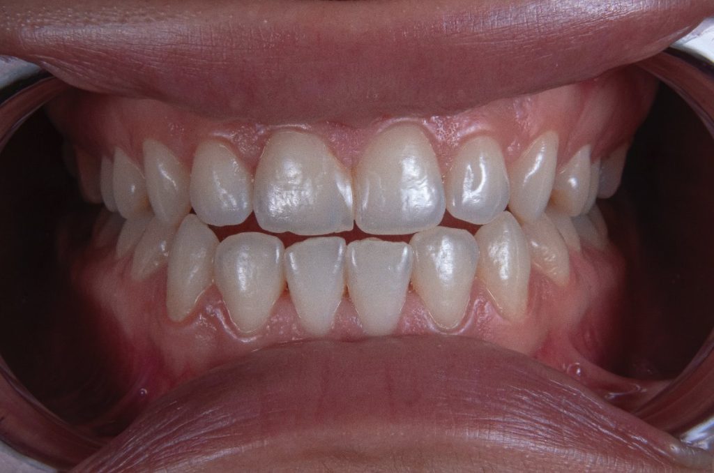
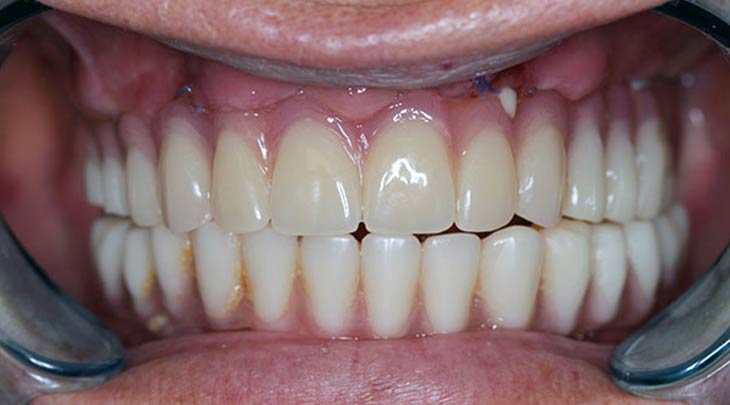
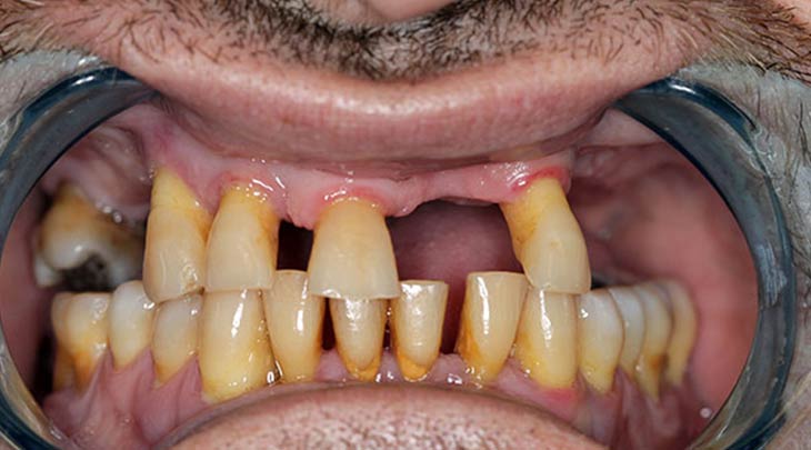
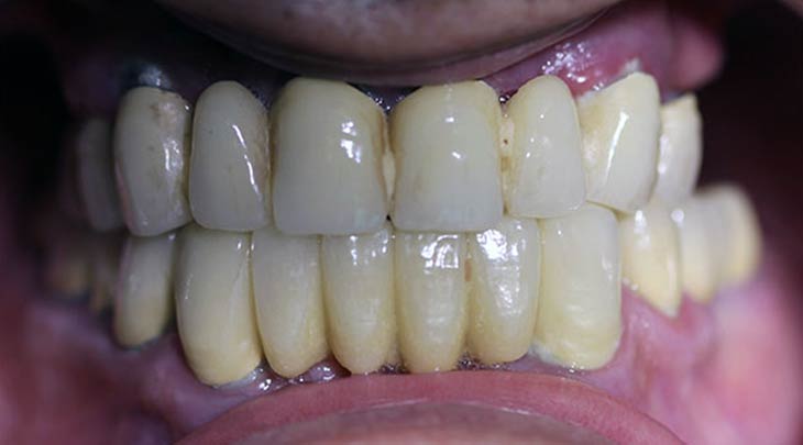
Pacienții mulțumiți în urma intervenției dentare de la DentPoint
Clinica DentPoint vă oferă un zâmbet perfect prin cele mai optime soluții pentru dinții dumneavoastră.
În atmosfera confortabilă, calmă și prietenoasă din clinica DentPoint până și cei mai dificili pacienți se relaxează și se simt cât mai confortabil. Specialiștii clinicii sunt întotdeauna concentrați pe clienți și soluționarea problemelor acestora.
Toate echipamentele și instrumentele noastre trec printr-un ciclu complet de sterilizare în toate etapele utilizării lor.
Personalul folosește doar mănuși sterile și echipamente de unică folosință. Pentru anumite manipulări se folosesc costume chirurgicale sterile de unică folosință. Toate seturile de instrumente dentare sunt sterilizate.
În clinica noastra încercăm să te facem să uiți pentru totdeauna ce este frica de stomatologi. Medicii noștri sunt întotdeauna abordabili și binevoitori, iar lucrul lor oferă oamenilor bucuria unui zâmbet frumos și sănătos!
Sfaturi utile și soluții pentru tratamente dentare
De ce să alegi clinica noastra?
Soluții complexe de tratament. Siguranță și sterilitate la toate etapele.
Îngrijirea pacientului pe toată durata tratamentului.
Abordare individuală a fiecărui pacient.
Garanția serviciilor stomatologice de calitate.
Echipament de ultimă generație. Diagnosticare stomatologică computerizată.Completează formularul de contact pentru a efectua o programare!
Și tu poți avea o dantură completă și perfectă!
Implantul dentar, protetica dentară sau alt tratament stomatologic îți vor dovedi acest lucru.
















